علت در نیامدن دندان بعد از افتادن دندان شیری
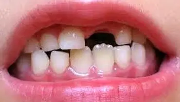
نگران تأخیر در درآمدن دندان دائمی کودکتان پس از افتادن دندان شیری هستید؟ این مقاله دلایل احتمالی از زمان بندی طبیعی تا…
نگران تأخیر در درآمدن دندان دائمی کودکتان پس از افتادن دندان شیری هستید؟ این مقاله دلایل احتمالی از زمان بندی طبیعی تا…
در ادامه از دیدگاه پزشکی به این پرسش پاسخ میدهیم که خوردن مکمل مخصوص آقایان توسط خانمها و برعکس، چه عوارضی دارد؟
در ادامه از دیدگاه پزشکی به این پرسش پاسخ میدهیم که کرم مرطوب کننده برای دور چشم خوب است و به فرق با کرم دور چشم…
دانشمندان دانشگاه ناتینگهام با همکاری تیمی بینالمللی موفق به ساخت ژلی نوین شدهاند که بدون استفاده از فلوراید و با…
تب بالا می تواند بسیار آزاردهنده باشد. در این مقاله با روش های خانگی مانند مصرف مایعات، استراحت و کمپرس ولرم و همچنین…
پف زیر چشم، از بیماریهای جدی مانند مشکلات کبدی حکایت دارد. در این مطلب ارتباط میان پف زیر چشم و مشکلات کبدی را بررسی …
رئیس انجمن دکترای علوم آزمایشگاهی تشخیص طبی ایران نسبت به تفسیر غیرتخصصی نتایج آزمایشهای پزشکی توسط سامانههای هوش…
تب بالا می تواند بسیار آزاردهنده باشد. در این مقاله با روش های خانگی مانند مصرف مایعات، استراحت و کمپرس ولرم و همچنین…
این مقاله شش روش عملی و مبتنی بر شواهد علمی از نوردرمانی تا ورزش و تغذیه را معرفی می کند تا پاییز را به دوره ای از رشد…
سرویس اجتماعی، انصاف نیوز: کوروش خدابنده، پزشک عمومی، سهمیههای پزشکی و ضعف اخلاق حرفهای را جزو مهمترین مشکلات پزشکی…
دبیر ستاد علم و فناوری شورای عالی انقلاب فرهنگی گفت: ظرفیت پزشکی سال گذشته حدود ۱۲ هزار و ۸۰۰ نفر بود و امسال به ۱۳…
در پی آسیبدیدگی سرژ اوریه بازیکن ساحلعاجی پرسپولیس، این بازیکن برای بررسیهای پاراکلینیکی اعزام شد.
چهار کارورز پزشکی بیمارستان کاشانی شهرکرد، روز گذشته مورد حمله همراهان یکی از بیماران قرار گرفته و به شدت مصدوم شدند. …
درد قلب چیست و چه علائمی دارد؟ در این مقاله با انواع درد قلب، عوامل خطر، روشهای پیشگیری و اهمیت تشخیص سریع آن آشنا…
آیا تا به حال نام نشانگان کاسپر-لو یا بیماری هلکند را شنیدهاید؟ در مورد گلبولهای سیاه یا پژواک برگشتی خون طوفانی…